ふじき矯正歯科では、定期的に勉強会を開いています。
世界で発表されている口に関する学術論文を読みながら、参加者全員でディスカッションしています。
(私(院長)は、口腔の機能と形態の調和を目指していますので、その系統の論文を読むことが多いです。)
なんとなく、難しそうな勉強会のように感じられるかもしれませんが、学術論文は当院で要約しますので、
それを読みながら、言いたい事を言い、聞きたい事を聞くだけです。
(最近の参加者は、しゃべりたい人が多いので、その人たちの話を聞くだけでもおもしろいと思います。)
気軽におしゃべりをする、参加者同士の交流の場ですので、興味のある方は、お気軽にご参加ください。
(最近の参加者は歯科医師と歯科衛生士が多いですが、参加者に制限はありませんので、興味のある方はお気軽にご参加下さい。)
申し訳ありませんが、しばらくお休みします。
とても残念ですが、よろしくお願い致します。
興味のある方は、どなたでもwelcomeですので、
お気軽にメール(fujiki-orthodアットマークs6.dion.ne.jp)でご連絡ください。
(メールは、アットマークを@に変えてお送りください。)
前回の勉強会の記録
第89回目は、2020年1月18日に「日々の診療を通じて感じる小児歯科医の役割」と題して行い、たけし矯正こども歯科の徳倉先生にお話ししていただきました。子どもの歯科治療では、技術的な面はもちろん、大人のように1対1の関係ではなく親と子どもと歯科医師の三角関係なので、子どもと話す、親と話す、それとともに家庭環境なども把握して、子どもと親の心もつかみながら治療していくことの大切さなどを教えていただきました。子どもは小さな大人ではない、ということは頭ではわかっているつもりですが、なかなか実践できないので、今日はその具体的なお話を聞くことができ、大変勉強になりました。参加してくださった皆様、ありがとうございました。
過去の勉強会の記録はこちら
![]() |
「お口で こんな動き できるかな? 口の適応力向上トレーニング」を、平成24年3月に出版しました。歯科の専門書として販売されていますが、一般の人たちにも理解していただけるよう、専門用語を極力使わずに解説しています。ぜひ、皆さんも読んでみてくださいね。 |
![]() |
上記の本が好評のため。2016年10月に「新 お口で こんな動き できるかな? 口の適応力向上トレーニング」という改訂版を出版しました。この本も、歯科の専門書として販売されていますが、一般の人たちにも理解できるよう、専門用語を極力使わずに解説しています。ぜひ、皆さんも読んでみてくださいね。 |
一般歯科の先生方、「矯正治療でなんとかできないかな?」と思われた事はありませんか?
例えば、
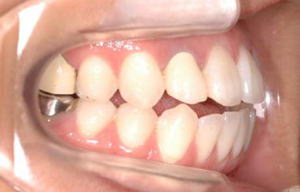
この方は、上顎の左右側切歯が欠損していて、左上犬歯も埋伏していました。
そこで一般歯科で左上犬歯を牽引されたのですが、癒着しているようで、でてこなかったため、
当院へ紹介されてきました。
(写真は、当院での治療前、矯正治療後、矯正治療後2年経過時です。)
→
→
当院でもこの左上犬歯の牽引を試みましたが、出てこず、
この犬歯を脱臼して牽引しようとしたことろ、脱臼時に犬歯が破折してしまい、やむなく抜歯となりました。
上の歯は3本不足し、下の歯はすべてありましたので、下の歯を1本上へ移植して、矯正治療しました。
→
→
→
→
下の歯が2本少なくなっていて、上の歯が1本増えているのがお分かりいただけますでしょうか?
下顎の第一小臼歯を、左上犬歯の部分に移植したためです。
(下は左右対称にするために、左右の第一小臼歯(計2本)を抜きました。そのうち1本を上に移植しました。)
→
→
かみ合わせも整いました。
最終的には、移植した歯にセラミックをかぶせてもらい、きれいになりました。
(なお、この方は、14才から矯正治療を開始しました。マルチブラケット装置を約2.5年間装着し、この間は1か月に1回定期的に通院していただきました。矯正治療の治療費は、約90万円かかかっています。歯を植えなおす(移植する)のは、うまくいかないリスク、一見うまくいっていても数年後にダメになるリスクなどがあり、それに加えて歯根吸収などの矯正治療のリスク、矯正治療に伴う痛みなどに耐える必要性などもありますので、これらすべてをきちんと説明して、承諾を得てから治療に入る必要があります。この方は(親御さんも含めて)、なんとかきちんと治したかったのでしょう。リスクもきちんと受け入れてくださり、本当に一生懸命に治療に取り組まれました。おかげで、このような治療ができました。)
この方は、 右上と左下の第一大臼歯を小さい頃に失い、ブリッジが入っていました。
左上と右下の第一大臼歯にもクラウンが入っていました。
(写真は、矯正治療前、矯正治療中、矯正治療後です。)
→
→
→
→
右上と左下のブリッジを切断するとともに、左上と右下のクラウンの入っている大臼歯を抜歯して矯正治療しました。
一番奥歯は、すべて8番(親知らず)です。
矯正治療後には、8番(親知らず)もきれいに並んで、きちんとかみ合いました。
この方の正面とかみ合わせです。
→
→
→
→
かみ合わせもよくなり、前歯の開咬も改善しました。
(なお、この方は、24才から矯正治療を開始しました。マルチブラケット装置を約3年間装着し、この間は1か月に1回定期的に通院していただきました。治療費は、約90万円かかかっています。矯正歯科治療のリスクである歯根吸収はありませんでしたが、歯肉が少し下がり若干歯が長く見えるようになりました。この方は、顎間ゴムをきちんと装着すること、口のトレーニングを継続的に続けることなどが、きちんと治すためには必須条件でしたが、とても一生懸命に矯正治療に取り組まれ、それを継続していただけたおかげで、このように治すことができました。)
これらのように、一般歯科治療に矯正治療を加える事で、ブリッジなどの補綴物を使うことなく、
きれいに整える事ができる場合があります。
もちろん、矯正治療には、痛みや治療期間、費用等の問題がありますので、
患者さんとよく話し合った上で、治療方針を決めていく必要があります。
矯正治療を加えて、なんとかできないかな、と思われるケース等ございましたら、
お気軽に、メール(fujiki-orthodアットマークs6.dion.ne.jp)でご連絡ください。
(メールは、アットマークを@に変えてお送りください。)
少しでもよい治療を提供できるように一緒にがんばりましょう。
〒466-0834
愛知県名古屋市昭和区広路町字北石坂102-54 八事グランドビル6F
TEL 052-835-8711