歯を動かすことによって、歯並び・かみ合わせを整える治療が、矯正歯科治療です。
一般的には、
ガタガタした歯並び(叢生)を、こんなふうに治したり、
→
(Angle I級叢生・開咬、治療開始年齢:18歳、上下顎の左右第一小臼歯抜歯、マルチブラケット装置装着期間:約2.5年、治療費:約90万円、矯正治療リスクである歯根吸収等はなし。矯正治療の痛みと違和感がとても大変だったようですが、歯みがきをきちんとするなど本人がとても前向きに治療に取り組まれましたので、リスクであるむし歯や歯周病なども生じませんでした。)
出っ歯(上顎前突)を、こんなふうに治したり、
→
(Angle II級上顎前突、治療開始年齢:24歳、上顎左右第一小臼歯と下顎左右第二小臼歯を抜歯、マルチブラケット装置装着期間:約2.5年、治療費:約90万円、矯正治療リスクである歯根吸収等はなし。ただ、歯みがきがおろそかだったことなどの要因により、歯を支えている骨や歯肉が少し下がり、歯が少し長く見えるようになり、歯の間に隙間(ブラックトライアングル)ができました。また、小さなむし歯もできました。しかし本人は、とてもきれいになったと喜ばれていました。)
受け口(下顎前突)を、こんなふうに治したり、
→
(Angle III級下顎前突、治療開始年齢:15歳、非抜歯、上顎拡大装置とマルチブラケット装置装着期間:約2.5年、治療費:約85万円、矯正治療リスクである歯根吸収等はなし。ただ、矯正治療の痛みと違和感がとても大変だったようです。顎間ゴムを1日22時間以上しっかり使っていただけたおかげで、きれいに治りました。)
このように、歯を動かして歯並びとかみ合わせを整えていく治療、これが矯正歯科治療です。
ふじき矯正歯科では、こんな治療もします。
小さい頃に、大きなむし歯で左下の6歳臼歯を失ってしまい、ブリッジが入っていた方です。
(写真は、矯正治療前、矯正治療中、矯正治療後です。)
→
→
ブリッジを切断して、歯のない部分のすき間を矯正治療で閉じました。
(すき間が閉じているでしょう。歯は動くんです!)
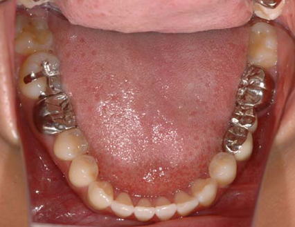
左下の一番奥歯は、親知らずです。
矯正治療前は、ほんの少ししか見えていなかったのですが、治療後にはきれいにでてきて、きちんと並んでいます。
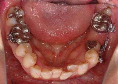
この方のかみ合わせです。
→
→
単純にすき間を閉じるだけでなく、かみ合わせも整いました。
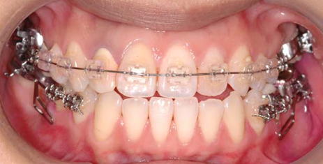
この方の正面です。
→
→
主訴の「ガタガタした歯並び」も治りました。
ちなみに、この方は41歳からこの治療を始めました。
歯につけるマルチブラケット装置は、目立ちにくいものを使っても、このような治療は可能ですが、この方は、金属の装置を選択されました。
このように歯を1本失っても、矯正治療をすることで、ブリッジなどの人工物を使うことなく治療できる場合があります。
(なお、この方は、上顎の左右第一小臼歯と下顎右側第二小臼歯を抜歯して治療しています。マルチブラケット装置を約3年間装着し、この間は1か月に1回定期的に通院していただきました。治療費は約90万円かかっています。治療の最初の頃は、痛みや違和感などでとても大変だったようです。矯正歯科治療リスクである歯根吸収はありませんでしたが、写真を見ていただいてわかる通り、歯肉や歯を支えている骨は少し下がり、歯の間に隙間ができました。)
もっとブリッジが多かった方もおられます。
右上と左下の6歳臼歯を小さい頃に失い、ブリッジが入っていました。
左上と右下の6歳臼歯も大きなむし歯になったようで、銀歯が入っていました。
(写真は、矯正治療前、矯正治療中、矯正治療後です。)
→
→
→
→
右上と左下のブリッジを切断するとともに、あまり状態のよくない左上と右下の銀歯(6歳臼歯)を抜歯して矯正治療しました。
矯正治療後に、すべてのすき間が閉じていることがわかると思います。歯は動くんです!!
一番奥歯は、すべて親知らずです。
矯正治療後には、親知らずもきれいに並んで、きちんとかみ合っています。
(親知らずは、このように他の歯がダメになった時、代わりに使うことができる場合があります。したがって、理由もなく親知らずを抜くことに私は反対です。でも、年齢が高くなった時に問題が出てきて、その時に抜くのはデメリットも多いので、なかなか難しいところです。)
この方の正面とかみ合わせです。
→
→
→
→
かみ合わせもよくなり、主訴であった前歯の開咬(前歯がかみ合わない状態)も改善しました。
これらのように、歯が数本ダメになっても、矯正治療をすることで、ブリッジなどの人工物を使うことなく、自分の歯を使って治療することができる場合があります。
もちろんこのような治療をするためには、残された歯が健康であることなどの条件がありますし、矯正治療は痛みを伴うなど、なかなか大変ではありますが。。。
しかし、「こんな治療もできるんだ」、と治療の選択肢のひとつとして覚えておいていただければよいと思います。
(なお、この方は、24才から矯正治療を開始しました。マルチブラケット装置を約3年間装着し、この間は1か月に1回定期的に通院していただきました。治療費は、約90万円かかかっています。矯正歯科治療のリスクである歯根吸収はありませんでしたが、歯肉が少し下がり若干歯が長く見えるようになりました。この方は、顎間ゴムをきちんと装着すること、口のトレーニングを継続的に続けることなどが、きちんと治すためには必須条件でしたが、とても一生懸命に矯正治療に取り組まれ、それを継続していただけたおかげで、このようにきれいに治すことができました。きちんと治すためには、本人の「治したい」という強い気持ちと努力が大切、ということをよく表しているケースだと思います。ー詳しくは「矯正歯科治療を受ける前の心構え」をお読みください。)
また、こんなことをすることもあります。
この人は、上の歯が生まれつき2本不足していて、骨の中に埋まったまま、はえてこない歯も1本ありました。
そこで一般歯科で、この埋まったままの歯を引っぱり出そうとされていたようですが、うまくでてこなかったため、当院へ紹介されて来られました。
(写真は、当院での治療前、矯正治療後、矯正治療後2年経過時です。)
→
→
当院でも埋まったままの歯を引っぱりましたが、でてきませんでした。
上の歯は3本不足し、下の歯はすべてありましたので、下の歯を1本上へ植えなおして(移植して)、矯正治療しました。
→
→
→
→
下の歯が2本少なくなっていて、上の歯が1本増えているのがお分かりいただけますでしょうか?
下の前から4番目の歯を、左上の大きなすき間の部分に植えなおした(移植した)ためです。
(下は左右対称にするために、左右の歯(計2本)を抜きました。そのうち1本を上に植えなおしました。)
→
→
かみ合わせも整いました。
植えなおした歯は、最終的に一般歯科でセラミックをかぶせてもらい、形を整えました。
(なお、この方は、14才から矯正治療を開始しました。下顎の左右第一小臼歯を抜歯し、そのうち一本を上顎へ移植しました。マルチブラケット装置を約2.5年間装着し、この間は1か月に1回定期的に通院していただきました。矯正治療の治療費は、約90万円かかかっています。歯を植えなおす(移植する)のは、うまくいかないリスク、一見うまくいっていても数年後にダメになるリスクなどがあり、それに加えて歯根吸収などの矯正治療のリスク、矯正治療に伴う痛みなどに耐える必要性などもあり、決して安易にこのような治療を開始できるわけではありません。この方は(親御さんも含めて)、なんとかきちんと治したかったのでしょう。リスクもきちんと受け入れてくださり、本当に一生懸命に治療に取り組まれました。おかげで、このようにきれいに治りました。)
上記のように、一般歯科治療の中に矯正歯科治療を加えることで、治療の幅が広がることもありますので、頭の片隅にでも置いておいていただければ、と思います。
(もし、このページを読まれて興味をもたれた一般歯科の先生がおられましたら、相談にのりますので、お気軽にご連絡下さい。(医療関係の方々へのページをご覧下さい。)少しでもよい治療を患者さんに提供できるよう、一緒にがんばりましょう。)
長々と書いてきましたが、矯正歯科治療というものを、なんとなく理解していただけましたでしょうか?
矯正歯科治療は、歯を移動させることにより、歯並び・かみ合わせを整えて、口の中を健康にする医療だと、ふじき矯正歯科では考えています。
一般的に矯正歯科治療では、
ガタガタした歯並び(叢生)の人、
出っ歯(上顎前突)の人、
受け口(下顎前突)の人、
奥歯はかんでいるのに、前歯はかみ合わない人(開咬)、
かんだ時に下の前歯が見えないくらいかみ合わせが深い人(過蓋咬合)、
すきっ歯(空隙歯列)の人、
かみ合わせが右や左にずれている人(交叉咬合)
などの歯並び・かみ合わせを、標準的な歯列・咬合へ整えます。
ただ、上のケースで示したように口の中の状態は人それぞれ、千差万別ですので、出っ歯だからこう治す、受け口だからこうします、などと単純に治療できるわけではなく、治療方法は人ぞれぞれ異なります。
矯正治療って、単純そうに見えるかもしれませんが、実は、かなり奥が深いのです。
ふじき矯正歯科では、一人一人の患者さんにしっかり時間をとって、じっくり考えて治療するようにしています。
矯正治療をお考えでしたら、お気軽にご相談下さい。

ふじき矯正歯科で、矯正初診相談を受けてみようと思われた方は、「初診相談の予約のとり方」のページをご覧ください。
ふじき矯正歯科について知りたい方は、「ふじき矯正歯科のご案内」のページをご覧下さい。
どこで矯正歯科治療を受けるべきか迷われている方は、「矯正歯科の選び方」のページもご覧下さい。

〒466-0834
愛知県名古屋市昭和区広路町字北石坂102-54 八事グランドビル6F
TEL 052-835-8711